EnzMet™: Western Blot HRP Detection Kit
EnzMet™ metallographic substrate for Western blots with HRP / horseradish peroxidase.
Formulated for highest sensitivity in immunoblotting applications.
Upgrade from DAB!
- Crisp, black & archival
- High-res, super-sensitive
- Metallographic HRP substrate for Western blots
- Virtually no background
EnzMet™: Western Blot HRP Detection Kit
EnzMet™ metallographic substrate for Western blots with HRP / horseradish peroxidase.
Formulated for highest sensitivity in immunoblotting applications.
Upgrade from DAB!
- Crisp, black & archival
- High-res, super-sensitive
- Metallographic HRP substrate for Western blots
- Virtually no background
- 6002-100ML
EnzMet™: Western Blot HRP Detection Kit
$ 406.00
Product Information
-
Fritzsche, Florian Rudolf MD; Bode, Peter K. MD; Moch, Holger MD; Kristiansen, Glen MD; Varga, Zsuzsanna MD; Bode, Beata MD. Determination of the Her-2/neu Gene Amplification Status in Cytologic Breast Cancer Specimens Using Automated Silver-enhanced In-situ Hybridization (SISH). American Journal of Surgical Pathology: August 2010 – Volume 34 – Issue 8 – pp 1180-1185.
EnzMet™: Western Blot HRP Detection Kit
Precision HRP Staining with Enzyme Metallography
Crisp, archival peroxidase stains for ISH, IHC, blots...
EnzMet™ is our metallographic peroxidase substrate.
Use it in place of DAB or other organic chromogens for Western blotting, in situ hybridization (ISH), immunohistochemistry (IHC), electron microscopy, correlative microscopy, nanowires and biochips.
Clearer, crisp staining for Western blotting, in situ hybridization (ISH), and immunohistochemistry (IHC)
EnzMet™ (Enzyme Metallography) is a new biological labeling and staining method developed at Nanoprobes. It uses a targeted enzymatic probe with a novel metallographic substrate to provide a quantum leap in staining clarity over conventional chromogenic and fluorescent substrates.

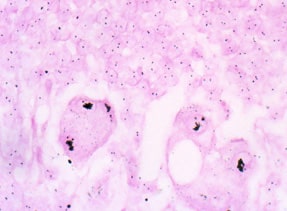
HER2 staining in HER2-amplified tissue from a human breast cancer biopsy. Dr. Raymond R. Tubbs, Cleveland Clinic.
EnzMet™ has proven highly sensitive both for in situ hybridization (ISH), where it readily visualizes endogenous copies of single genes, and immunohistochemistry (IHC) detection.
It has also been used as an electrical detection method and to create nanowires for biochips.
What is EnzMet?

Comparison of EnzMet with conventional DAB immunohistochemistry and enhanced DAB, showing superior contrast and sensitivity even without further amplification. Cytokeratins in paraffin-embedded bladder tumor stained with monoclonal primary antibody (AE1/AE3, Dako) and peroxidase secondary (Envision, Dako).
Features and Benefits
- Patented EnzMet™ technology uses HRP to deposit metallic silver with extraordinary selectivity.
- High sensitivity: detect single copies of target genes, or low-abundance proteins with virtually no background.
- Black, sharply defined, non-diffusing stain gives higher resolution localization
- Compatible with all counterstains: lets you clearly see surrounding tissue morphology (as opposed to fluorescent signals where surrounding tissue is not visible)
- Minimal diffusion: super-high resolution compared with DAB.
- Near zero background.
- Does not fade or bleach.
The sharply resolved black signal is readily distinguished from other stains: it has been combined with fast red K immunohistochemistry to provide a concomitant brightfield gene and protein assay.
EnzMet has many advantages both over fluorescent labels and enzyme chromogens. Because it is used in the conventional brightfield microscope, it does not require fluorescent optics, or dark adaptation on the part of the user. The signal is permanent, and does not have the photobleaching problems associated with fluorescent stains.
EnzMet™’s high density enables visualization at even low magnification. It produces a sharp metal deposit that does not diffuse like DAB, giving higher resolution localizations. Because the deposited metal is electron-dense, it provides high contrast for electron microscopy, making enzyme metallography a potential correlative light and electron microscopy method.
Applications
Found a new application for EnzMet? Got a good idea?
Drop us a line and let us know what you're working on.
Western Blots
Quick, sensitive and reliable with EnzMet™
The EnzMet™ Western Blot HRP Detection Kit uses horseradish peroxidase (HRP) – catalyzed silver deposition at the precise location of the enzyme for specific HRP detection on Western blots and in dot blotting applications.
EnzMet™ silver deposition results in dense, highly discrete, sharp-edged, permanent black bands and dots ideal for direct visualization, imaging and archiving.
Better than DAB
EnzMet™ replaces DAB or any other peroxidase-activated chromogen or fluorogenic substrate to provide sharp, clear, permanent results.

Comparison of HRP detection with EnzMet™ vs. DAB and Metal-enhanced DAB Substrate Kit: 6xHis-tagged recombinant Src protein (Millipore # 14-326), probed using anti-His·Tag® mouse monoclonal antibody (Millipore # 70796-3) followed by goat anti-mouse IgG HRP conjugate (Millipore # 71045), then detected by: (left) DAB Substrate Kit,(center) metal-enhanced DAB Substrate Kit, and (right) EnzMet™ Western Blot HRP Detection Kit.
Saving lives with EnzMet™:
HER2 gene detection with SISH –better than FISH!
Nanoprobes recently teamed with Ventana Medical Systems to create a definitive HER-2 breast cancer test based on EnzMet, using SISH (Silver In Situ Hybridization). Treatment for this disease was already quite effective, but a good test for it remained the missing link between detection and cure. The test is now being used across the United States and Europe, and Nanoprobes is very proud to be have been a part of this effort.
Better than FISH
EnzMet enables bright field detection, a permanent signal, and use of full-strength H&E staining for simultaneous visualization of underlying tissue morphology.
More applications...
Biochip Fabrication
Highly specific electrical detection using conductive array biochips:
enzyme-labeled DNA probes were developed with EnzMet to form conductive bridges.
In situ hybridization (ISH)
Highly sensitive in situ hybridization, with single-copy sensitivity and copy counting.
Immunohistochemistry (IHC)
Precise, sensitive and clear immunohistochemical staining and detection.
Immunodot and Protein Blots
Highly sensitive visualization on immunodot blots and other protein blots with negligible background.
Correlative microscopy
Correlative light and electron microscopic localization of microsporidial spore proteins.












